Ровная и функциональная улыбка — результат точной стратегии лечения.

ДОБРО ПОЖАЛОВАТЬ!
Я — ВЕДУЩИЙ ОРТОДОНТ МОСКВЫ,
Рахманова Дильфуза Равильевна
• Ортодонт — гнатолог — преподаватель.
• Цифровая ортодонтия. Индивидуальные планы. Стабильный результат.
• Я практикую ортодонтию более 20 лет и специализируюсь на эстетическом выравнивании зубов у взрослых и подростков.
• Моя задача — создать идеальную улыбку, сохранив вашу естественность, гармонию и индивидуальность.
• Я работаю в современном эстетическом протоколе: мягкие биомеханические силы, деликатные перемещения, точное планирование и полная предсказуемость результата.
• Такой подход позволил мне стать одним из ведущих ортодонтов Москвы и заслужить доверие пациентов, которые ценят качество, комфорт и персональный подход.
Факторы доверия:
• ТОП-3 ортодонтов Москвы (2024–2025)
• 20+ лет клинической практики
• Обучение в Seoul National University (Южная Корея)
• Ко мне приходят учиться врачи
• Ортодонт + гнатолог + цифровая диагностика
• Эстетический, деликатный подход
• Эксперт по сложным случаям
МОЙ ПОДХОД
Как я лечу и чем отличаюсь
Ортодонтическое лечение — это не просто выравнивание зубов.
Это точная медицинская стратегия, выстроенная под конкретного человека.
Каждый план лечения я формирую индивидуально — с учётом функции прикуса, эстетики улыбки и долгосрочной стабильности результата.
Моя работа начинается с расширенной диагностики, которая позволяет увидеть не только положение зубов, но и работу суставов, мышц и всей зубочелюстной системы.
Я работаю в современном цифровом протоколе:
- 3D-сканирование и цифровое моделирование
- функциональный и гнатологический анализ
- планирование результата ещё до начала лечения
Такой подход позволяет:
- заранее понимать, к какому результату мы идём
- выбирать оптимальный метод лечения — элайнеры, брекеты или их сочетание
- избегать шаблонных решений и непредсказуемых этапов
Я сопровождаю пациента на всех этапах лечения — от первого приёма до периода ретенции, объясняя каждый шаг и отвечая за стабильность результата.
Моя цель — не просто красивая улыбка, а функциональный, эстетичный и прогнозируемый результат, который сохраняется на годы.

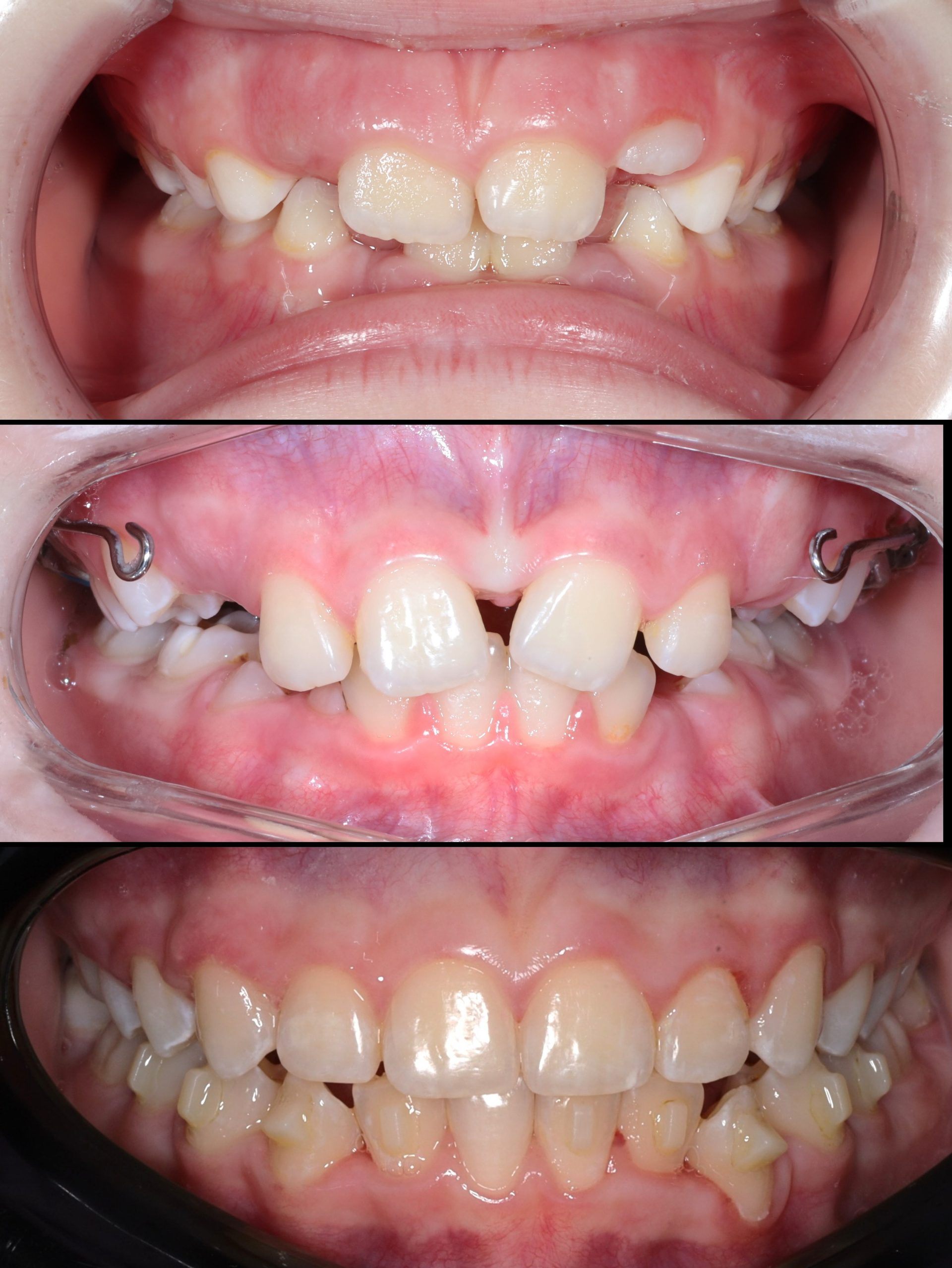
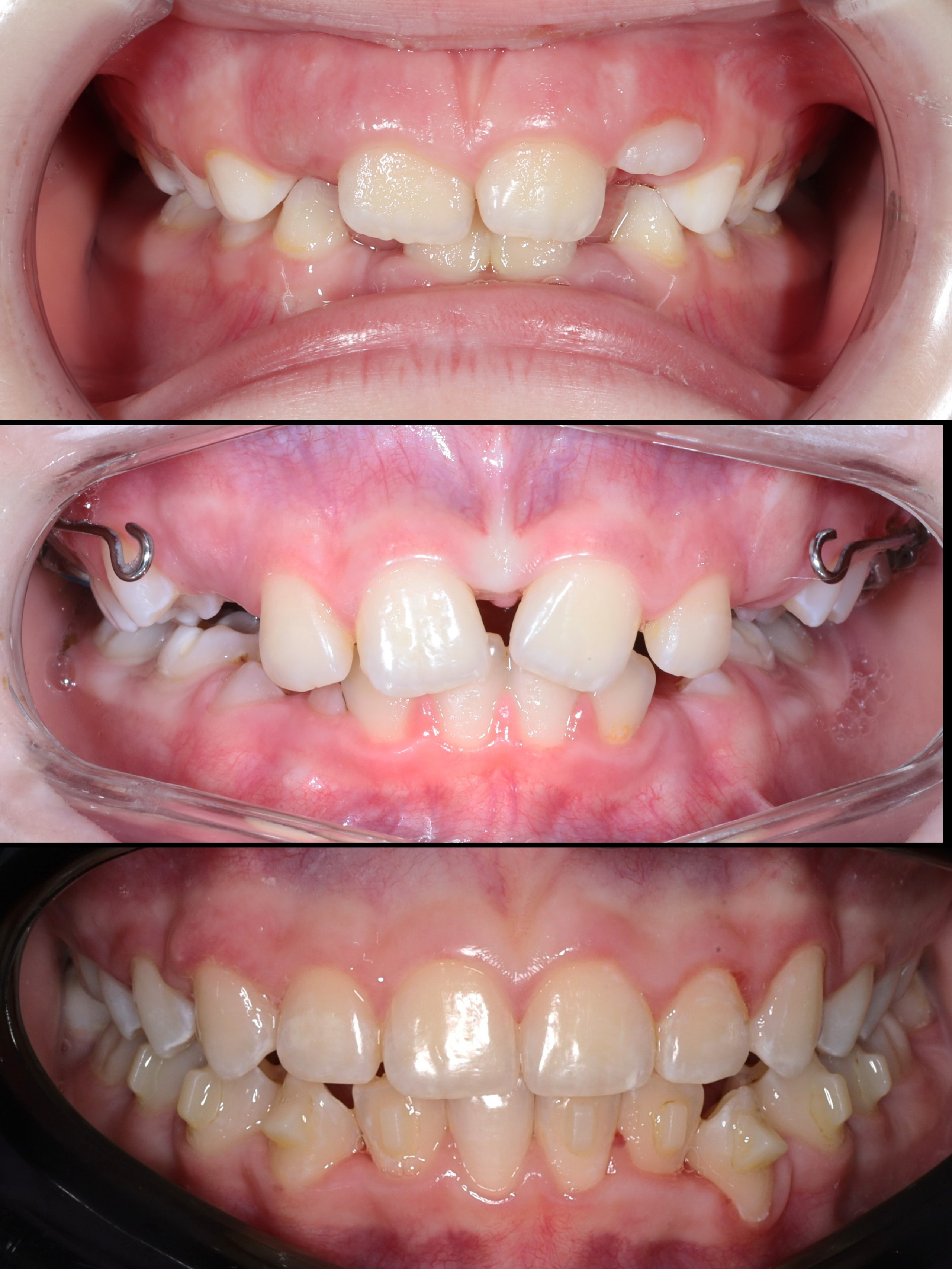
КЕЙСЫ
СВЯЗЬ СО МНОЙ
Вы можете записаться на консультацию
в Москве.
Для этого напишите мне в личные сообщения:












